锟铻®机器人精准矫正内翻膝,解放军总医院第一医学中心完成机器人辅助全膝置换术

机器人大讲堂

机器人大讲堂

2026年04月17日 16:01
本文共计596个字,预计阅读时长2分钟。
来源/机器人大讲堂 责编/爱力方

近日,解放军总医院第一医学中心张卓主任团队在锟铻®全骨科手术机器人辅助下,为一名62岁关节外畸形合并陈旧骨折患者成功完成全膝关节置换术,术后力线恢复理想,膝关节功能显著改善。

01.

关节外畸形叠加陈旧骨折,矫正挑战大

患者右膝长期呈内翻状态,行走跛行多年,同时伴有严重骨关节炎。更复杂的是,他早年曾发生右胫骨骨折,虽已愈合,但遗留骨骼畸形,导致膝关节解剖结构异常,传统手术难以精准恢复下肢力线。

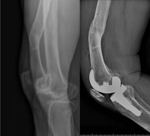
图:术前术后X片对比 

面对这一情况,张卓主任团队决定采用机器人辅助方案。“关节置换的核心难点是力线与间隙平衡,”张卓主任表示,“机器人系统让我们能直观看到每一步操作的数据反馈,极大提升了手术的安全性和效果确定性。尤其对这类合并陈旧骨折的患者,我们对术后康复更有信心。”

02.

从规划到执行,全程数据支撑

术前,团队基于患者CT影像,在锟铻®系统中完成膝关节三维重建,制定个性化截骨方案,针对关节外畸形力线娇正难题,精确计算矫正角度与假体型号。术中,机器人通过光学导航实时追踪骨骼位置,动态监测关节屈伸间隙,医生根据系统反馈即时调整操作,确保软组织平衡与力线精准复位。

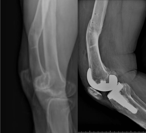
图:术前术后X片对比 

术后影像显示,下肢恢复至正常范围,假体安放位置与术前规划高度一致。患者疼痛明显减轻,目前已能自主站立并进行基础行走训练。

来源:锟铻®机器人精准“矫正”内翻膝 解放军总医院第一医学中心完成机器人辅助全膝置换术 | 机器人大讲堂

声明:本文来自机器人大讲堂,版权归作者所有。文章内容仅代表作者独立观点,不代表A³·爱力方立场,转载目的在于传递更多信息。如有侵权,请联系 copyright#agent.ren。

相关图文

热门资讯

推荐专栏

爱力方

爱力方

机器人前沿资讯及信息解读
机器人大讲堂

机器人大讲堂

中国顶尖的机器人专业媒体服务平台
关注爱力方,掌握前沿具身智能动态

© 2025 A³·爱力方

https://www.agentren.cn/